Sbiancamenti Dentale
- Home
- Trattamenti
- Sbiancamenti Dentale
Un sorriso più bianco, luminoso e naturale, in totale sicurezza.
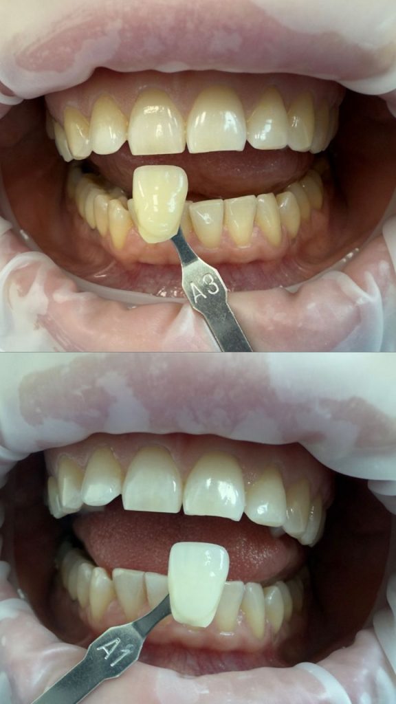
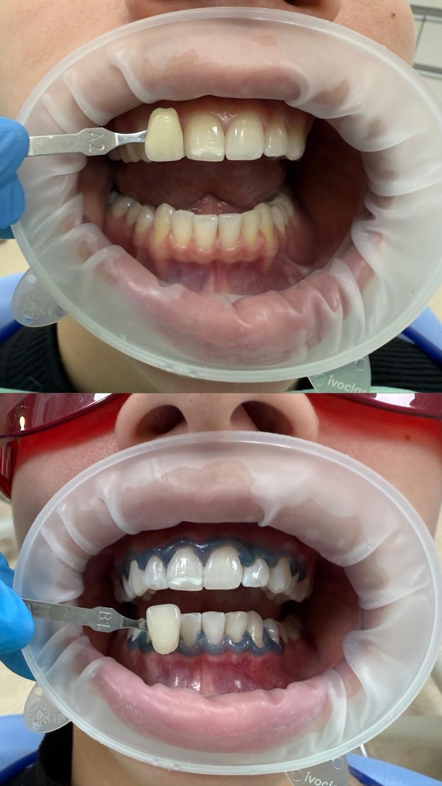
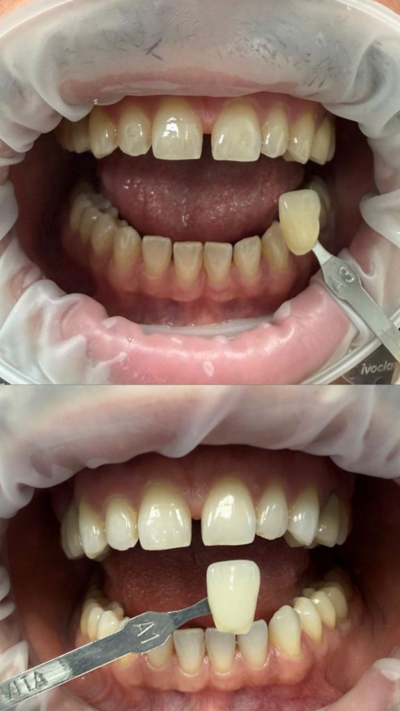
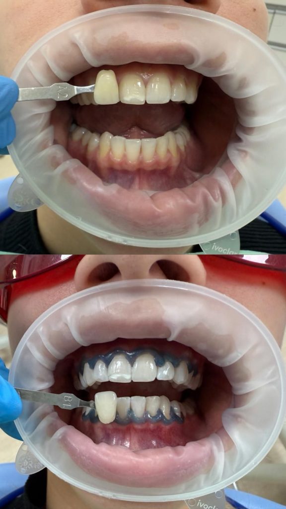
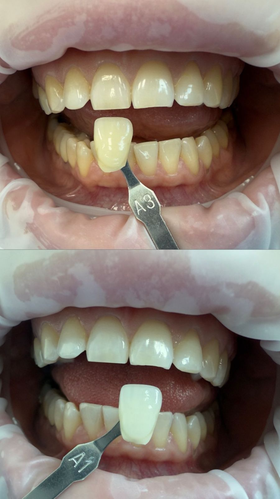
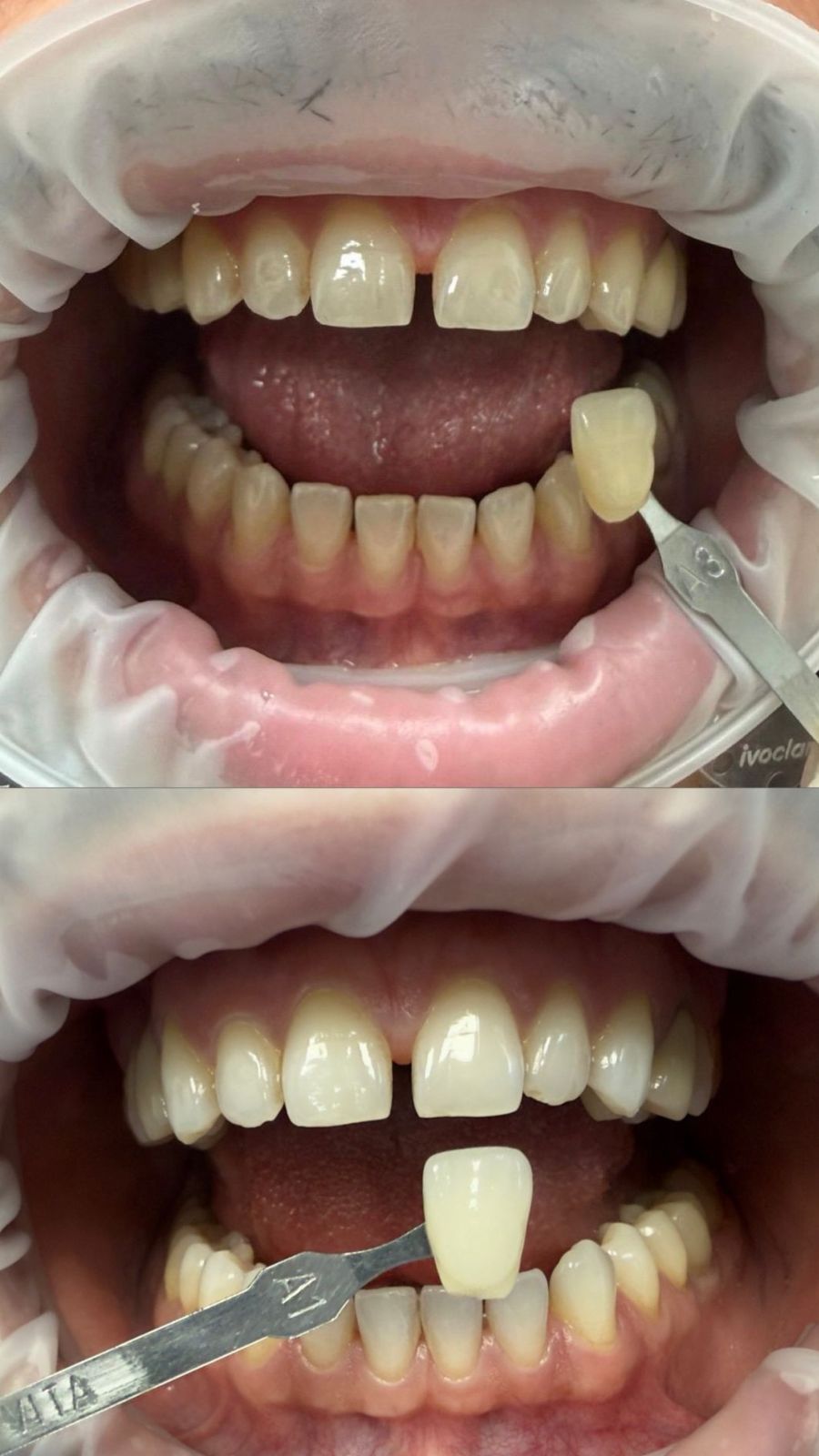
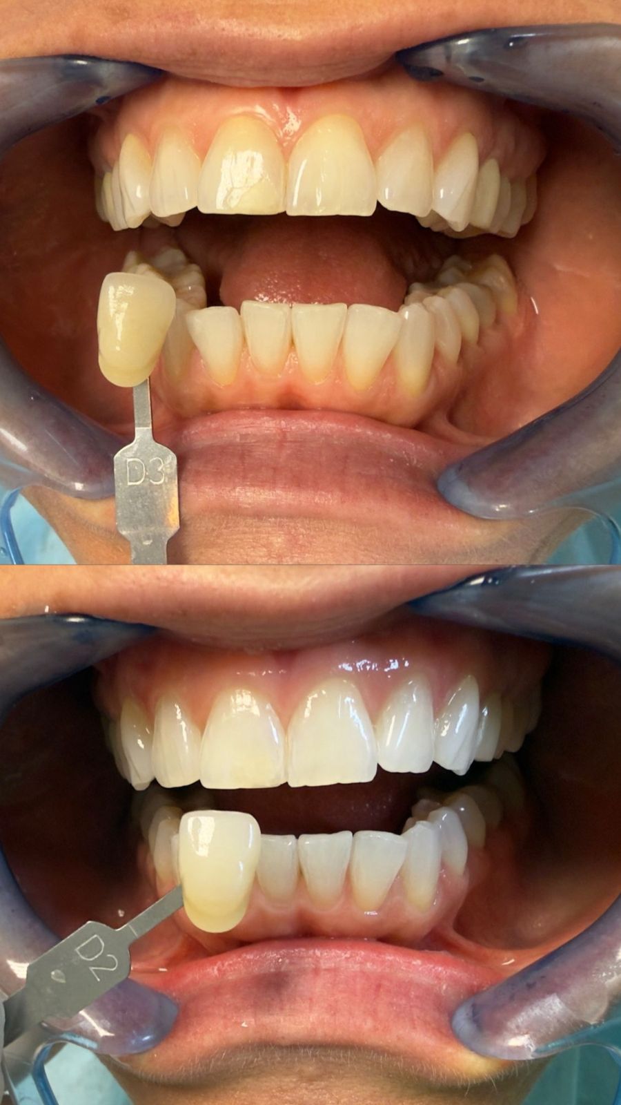
Lo sbiancamento dentale è un trattamento estetico semplice, sicuro ed efficace che permette di schiarire il colore dei denti e migliorare visibilmente il sorriso, eliminando macchie e discromie causate da fumo, caffè, tè, vino rosso o invecchiamento naturale dello smalto.
Presso il nostro studio utilizziamo tecnologie e prodotti professionali che garantiscono risultati rapidi e duraturi, senza danneggiare lo smalto e nel pieno rispetto della salute orale.
A seconda delle tue esigenze, potrai scegliere tra:
- Sbiancamento alla poltrona (in studio, con lampada LED o laser): risultati visibili in una sola seduta;
- Sbiancamento domiciliare personalizzato: con mascherine su misura e gel a concentrazione controllata.
Prima del trattamento eseguiamo sempre una valutazione clinica personalizzata, per garantire un risultato estetico ottimale e sicuro.
Ritrova la naturale bellezza del tuo sorriso con uno sbiancamento professionale eseguito in totale tranquillità.
I nostri trattamenti
I nostri orari
Lunedi - Venerdi
9:00 - 13:00 e 14:30 - 19:00
Sabato
9:00 - 12:00
